Перейти к публикации
Эксперты офлайн

Какая категория годности?


Рекомендованные сообщения

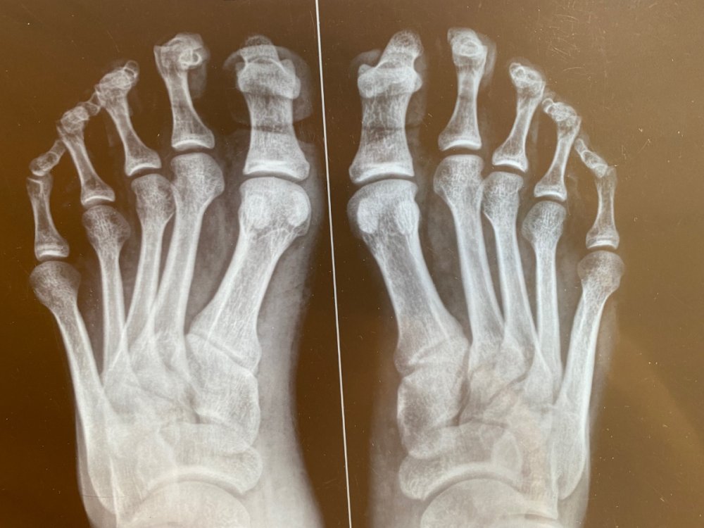
Добрый день! Проходил обследования в гос. учреждениях и платных больницах, был выставлен диагноз «молоточкообразная контрактура пальцев обеих стоп; высокосводчатая стопа». В военкомате был направлен на подтверждение диагноза в областную больницу, где был выставлено иное заключение (на фото). Также прикрепил результаты рентгена. На какую категорию годности я могу претендовать сейчас?

IMG_1209.jpeg

IMG_1210.jpeg

IMG_1212.jpeg

IMG_1214.jpeg

IMG_1207.jpeg

Ссылка на комментарий
  • Специалист ПризываНет

Здравствуйте! Категория годности будет определяться по статье 68 Расписания болезней:

image.png.da1329f1268c0e42f6d0267216ef9796.png

Цитата

 

К пункту "б" относятся:

стойкая комбинированная контрактура всех пальцев на обеих стопах при их когтистой или молоточкообразной деформации;

К пункту "в" относятся:

умеренно выраженные деформации стопы с незначительным болевым синдромом и нарушением статики, при которых можно приспособить для ношения обувь установленного военного образца;

 

т.к. в медицинском заключении не прописана молотообразная деформация пальцев стопы, есть вероятность выставления категории годности по пункту "в". 

Остались вопросы? Получите бесплатную консультацию от специалиста: Telegram или по номеру телефона +7 (800) 350-05-86.

Ссылка на комментарий

Присоединяйтесь к обсуждению

Вы можете опубликовать сообщение сейчас, а зарегистрироваться позже. Если у вас есть аккаунт, войдите в него для написания от своего имени.
Примечание: вашему сообщению потребуется утверждение модератора, прежде чем оно станет доступным.

Гость
Ответить в теме...

×   Вставлено в виде отформатированного текста.   Восстановить форматирование

  Разрешено не более 75 эмодзи.

×   Ваша ссылка была автоматически встроена.   Отобразить как ссылку

×   Ваш предыдущий контент был восстановлен.   Очистить редактор

×   Вы не можете вставить изображения напрямую. Загрузите или вставьте изображения по ссылке.

×
×
  • Создать...