Перейти к публикации
Эксперты офлайн

Какая категория годности?


Рекомендованные сообщения

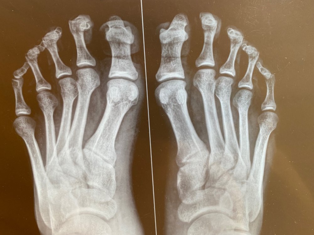
В военкомате направили в областную на подтверждение диагноза. Врач-ортопед выставил следующее заключение: «М20.1 Наружное искривление большого пальца (hallux valgus] (приобретенное)
Вальгусная деформация 1 пальца обеих стоп. Сгибательная контрактура пальцев обеих стоп.». На какую категорию годности я могу расчитывать? 

IMG_1214.jpeg

IMG_1212.jpeg

IMG_1211.jpeg

Ссылка на комментарий
  • Специалист ПризываНет

Здравствуйте! Ранее Вы уже получали ответ на свой вопрос с отсылкой на статью 68 Расписания болезней. Если у Вас остались вопросы, за более подробным объяснением Вы можете обратиться по контактам, которые представлены ниже. 

Остались вопросы? Получите бесплатную консультацию от специалиста: Telegram или по номеру телефона +7 (800) 350-05-86.

Ссылка на комментарий

Присоединяйтесь к обсуждению

Вы можете опубликовать сообщение сейчас, а зарегистрироваться позже. Если у вас есть аккаунт, войдите в него для написания от своего имени.
Примечание: вашему сообщению потребуется утверждение модератора, прежде чем оно станет доступным.

Гость
Ответить в теме...

×   Вставлено в виде отформатированного текста.   Восстановить форматирование

  Разрешено не более 75 эмодзи.

×   Ваша ссылка была автоматически встроена.   Отобразить как ссылку

×   Ваш предыдущий контент был восстановлен.   Очистить редактор

×   Вы не можете вставить изображения напрямую. Загрузите или вставьте изображения по ссылке.

×
×
  • Создать...