Перейти к публикации
Эксперты офлайн

Допущена ли ошибка при выполнении рентгена


Рекомендованные сообщения

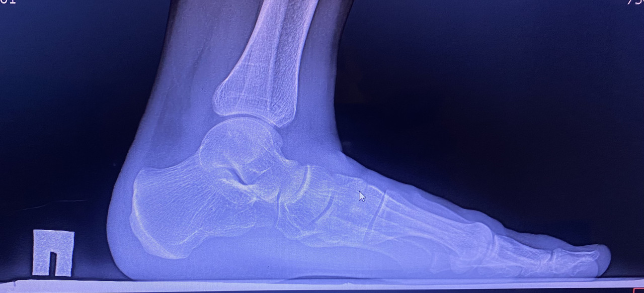
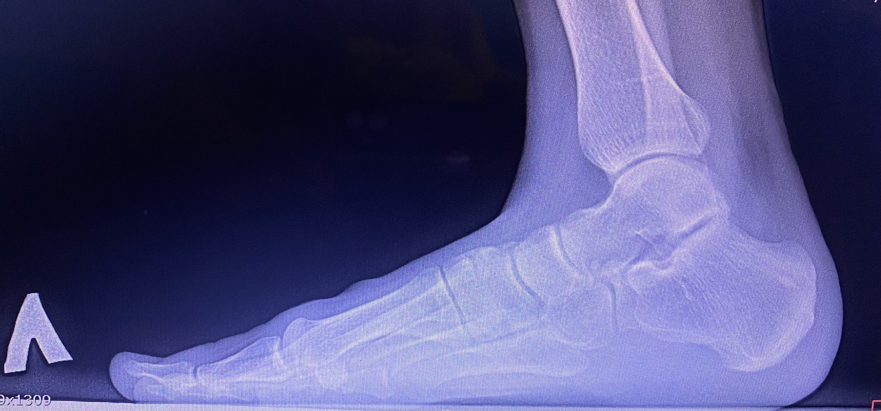
Здравствуйте, я сделал рентген стоп с нагрузкой, для определения степени продольной плоскостопии, по направлению от военкомата. В заключении написано, что на правой ноге у меня 3ст плоскостопии 158 градусов. Во время снимка я сгибал ногу в колене, поскольку это позволяет мне создать большую нагрузку для стопы. В интернете я слышал информацию, что подобные снимки военкомат считает выполненными неправильными, так ли это на самом деле? 
Фото снимков приложил. spacer.png
spacer.png

Ссылка на комментарий
  • Специалист ПризываНет

Здравствуйте!

При правильной укладке стопы для боковой проекции должна быть видна вся стопа с примерно 2 см дистального отдела малоберцовой и большеберцовой костей. Бедренная кость должна быть перпендикулярна к плоскости опоры. Дистальный отдел малоберцовой кости должен быть виден через заднюю сторону (половину) большеберцовой кости, а подошвенные поверхности головок плюсневых костей должны накладываться друг на друга при отсутствии ротации ступни.
У Вас на снимке укладка не корректная, поэтому в военном комиссариате могут направить на повторное исследование.

Остались вопросы? Получите бесплатную консультацию от специалиста: Telegram или по номеру телефона +7 (800) 350-05-86.

Ссылка на комментарий

Присоединяйтесь к обсуждению

Вы можете опубликовать сообщение сейчас, а зарегистрироваться позже. Если у вас есть аккаунт, войдите в него для написания от своего имени.
Примечание: вашему сообщению потребуется утверждение модератора, прежде чем оно станет доступным.

Гость
Ответить в теме...

×   Вставлено в виде отформатированного текста.   Восстановить форматирование

  Разрешено не более 75 эмодзи.

×   Ваша ссылка была автоматически встроена.   Отобразить как ссылку

×   Ваш предыдущий контент был восстановлен.   Очистить редактор

×   Вы не можете вставить изображения напрямую. Загрузите или вставьте изображения по ссылке.

×
×
  • Создать...